당뇨망막병증

> 망막질환클리닉 > 당뇨망막병증

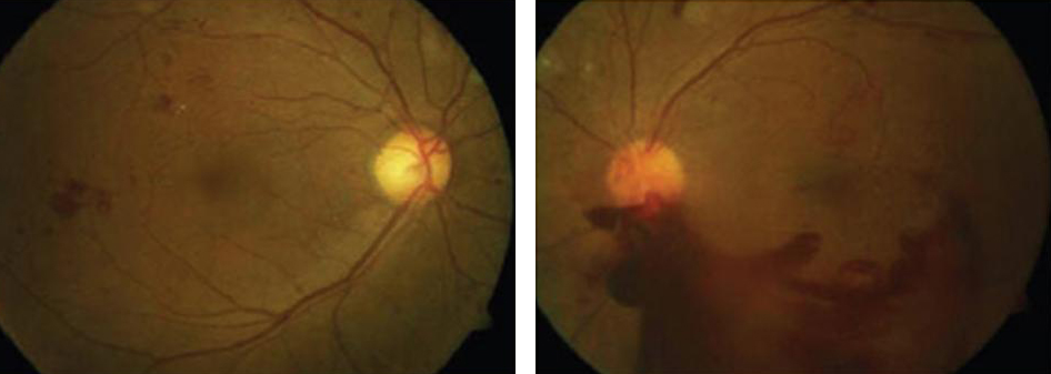
당뇨망막병증이란?

으로 대표적인 당뇨 합병증 중 하나입니다.
당뇨병 초기부터 혈당조절을 잘 안 하거나 고혈압 치료가 잘 안 되었을 때 당뇨망막병증의 위험성이 더 높으며,
당뇨병을 오래 앓을수록 당뇨망막병증이 발생할 확률이 더욱 증가하므로
당뇨조절을 잘 하더라도 당뇨 발생 후 15~20년 이상이 지나면 환자의 상당수에서 당뇨망막병증이 발생하게 됩니다.

주된 증상

  • 시야가 좁아진다
  • 시력이 떨어진다
  • 머리카락같이 무언가 떠다닌다

당뇨망막병증은 20세 이상 성인의 시력을 손상시키는 가장 흔한 원인입니다. 만성적인 고혈당이 당뇨망막병증을 일으키는 가장 중요한 위험인자로 알려져 있습니다.
당뇨망막병증이 많이 진행한 경우에도 아무런 자각 증상이 없을 수 있기 때문에 당뇨 및 혈압이 있으신 분 또는 만 40세이상에 해당되시는 분들은 꼭 정기적인 안과 검진이 반드시 필요합니다.

당뇨망막병증