노인성 황반변성

> 망막질환클리닉 > 노인성 황반변성

황반변성이란?

황반 변성이란 우리 눈의 입니다.
주로 연령층이 높을수록 모세혈관의 장애로 인한 저산소증으로 비정상적인 혈관이 생기는데
이때 혈관에서 누출된 혈역이나 액체가 시력저하를 유발합니다.

황반변성

황반변성 위험군

  • 60대 이상인 환자
  • 흡연자
  • 고혈압
  • 유전적인 요인
  • 남성보다 여성 발병률 증가
  • 항산화제와 루테인 섭취 부족

증상

  • 1단계 : 환자 스스로 뚜렷한 증상을 느끼지 못하는 경우가 많습니다.
  • 2단계 : 욕실의 타일이나 건물등의 선들이 휘어져 보이는현상을 경험합니다.
  • 3단계 : 사물의 중심의 일부가 가려보여 글자의 공백이 생기거나 찌그러져 보입니다
  • 황반변성이 한쪽눈에 먼저 발병한 경우 반대쪽 눈을 사용해 이상을 못느낄수 있으므로 각별히 주의해야하며 위 증상이 있을때는 즉시 안과를 찾아 검사받으셔야 합니다

자가진단테스트

  • 밝은 조명에서 쓰던 안경이나 콘택트렌즈를 착용한 상태로 주시합니다.
  • 한쪽 눈을 가리고 30cm 정도 거리에서 격자의 둥근 점을 바라봅니다.

  • 중심의 둥근 점에 시선을 고정시킨 후 선들이 어떻게 보이는지 확인합니다.
  • 반대편 눈도 똑같은 방법으로 검사해 봅니다.
  • 선이 물결모양으로 휘어져 보이거나, 중심의 둥근 점이 잘 보이지 않거나, 선의 중간 부분이 끊어져 보이거나, 한 부분이 뿌옇거나 찌그러져 보인다면 황반변성을 의심해 볼 수 있으므로 즉시 안과 전문의를 찾아 정밀 검사를 받아야 합니다.
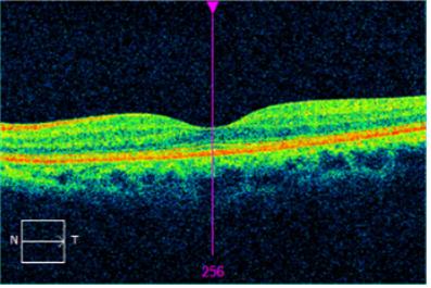
  • 건강한

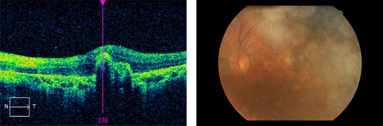
  • 비삼출성 황반변성

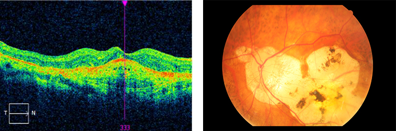
  • 비삼출성 황반변성